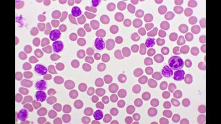
Understanding Chronic Lymphocytic Leukemia (CLL): An Introduction
AI Lesson

Understanding Chronic Lymphocytic Leukemia (CLL): An Introduction

Created by dovalle01@aurora.edu
Created 2026-03-01
Updated 2026-03-03
Open in App
Link copied to clipboard!